Close sites icon close
Search form

Search for the country site.

Country profile

Country website

The Bullet Inside

Stories

The Bullet Inside

At any moment, the bullet lodged in his pelvis could stop Ali dead in his tracks. It also keeps him moving, in search of a doctor to save his life.
10 June 2015
Ali stands outside the police station in Kos, Greece.

In the crowd of people milling about before the police station in Kos, a man stands clutching an X-ray film and pages of medical notes. His name is Ali, he is Syrian and 28, and he holds these papers like a talisman, a key perhaps to a better life and an end to his ordeal.


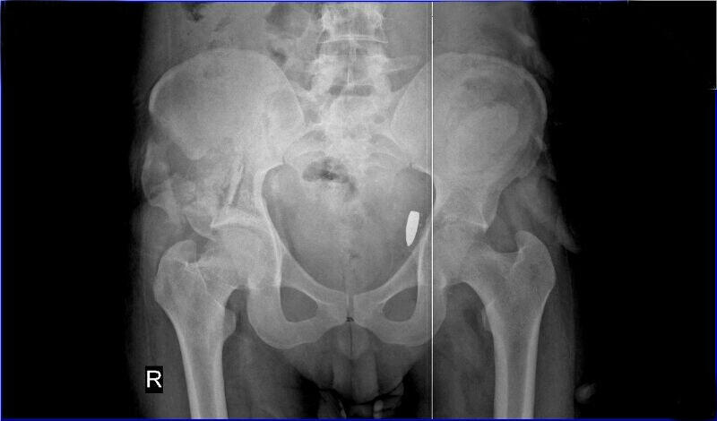
When we talk to him he is eager to show us the X-ray. There, clearly, is the image of a bullet lodged next to his pelvis bone. The bullet is a threat to his life, but that didn't stop him from embarking on an extraordinary, and extraordinarily dangerous, trek. It almost ended as it was beginning, in a small dinghy in the narrow strait between Bodrum, Turkey, and the Greek island of Kos, where thousands of refugees have arrived in recent weeks.

"The smuggler convinced us the trip was easy, we wouldn't have any problems," he says. "It was 12 o'clock at night when we left Bodrum. At one-thirty we were in the middle of the waves, and they were playing with us like a toy. Then the Greek Coast Guard rescued us."

Ali speaks quietly, dispassionately, almost as if the story has happened to someone else. But it is his ordeal, and his body that carries the scars. It started two years ago. Ali was a university student and he joined a street demonstration. Then the shooting began.

"There was a person next to me who was killed. He was shot in the head and I was shot five times" in the abdomen, he recalls. "I thought it was the end of my life. The pain was indescribable."

Incredibly, he survived – not just the shooting, but also a brutal 80-kilometre ride in an ambulance that took him to a hospital in Turkey. There he fell into a coma. It lasted 70 days. During that time doctors operated on him four times.

"When I woke up, my brother Ahmed came. He explained to me that they removed part of my colon. Then the doctor came and showed me the bullets they took out. He showed me four bullets. One was still inside my body."

The doctor also told Ali he couldn't remove the last bullet; it was dangerously lodged in his groin, and he didn't have the expertise to take it out. Ali's best chance of complete recovery lay with a specialized hospital in Berlin. He would also need surgery to repair his shattered hip. His intestines are held in place by an internal abdominal binder.

And so Ali began planning his dangerous trek. He first had to regain his strength, then find the money – more than US $1,000 – to pay smugglers to cross into Europe. That short sea voyage almost cost him his life again.

Over three days we see Ali several times. His smile grows wider each time; he has a talent for friendship. In the disused Captain Elias hotel, on the outskirts of town, he shares a room with several new friends, young men he met as began his refugee trek.

"My friends promised me that they will help on the way, if I feel tired, or if I fall down," he says. "The way is very long and hard."

The way he is talking about would be across the Balkans, from Athens into Austria and Germany – on foot, and led by paid smugglers. He says he's determined to try, despite the searing pain in his joints, which exhausts him after two hours on his feet.

"I am so happy that God helped me and that the Greeks rescued us from the sea."

His fear is that he will be separated from his friends in the process leading to their official registration as refugees in Athens. His hope is to regain his health, to finish his studies in economics and to return to a Syria once more at peace.

Ali radiates quiet optimism in the face of enormous odds. His describes his Facebook page as a "Space of Hope".

When I last see him, he puts his arm around my shoulder and says, "You are my father."

I am, rather, a witness to a man of great fortitude, a man who refuses pity and instead speaks of happiness.

"I am so happy that God helped me and that the Greeks rescued us from the sea," he says.